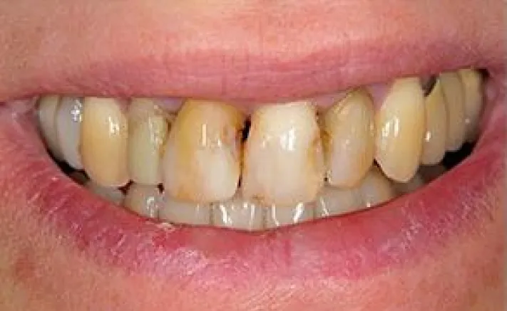
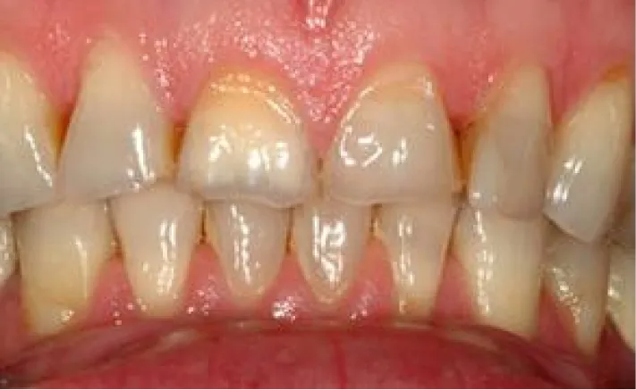
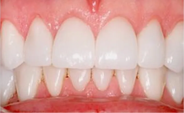
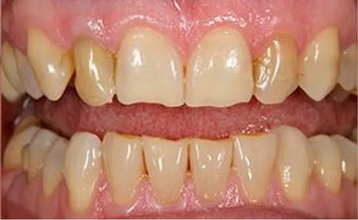
We are proud to offer a full range of dental services to help patients of all ages improve their oral health and smiles. Explore our smile gallery to see the results Dr. Kellie Harris and Dr. Kayci Harris have helped our patients achieve! To learn more and schedule your personal consultation with our dentists in Taos, New Mexico, call Northern New Mexico Dental Center today at 575-751-9661. We look forward to helping you achieve your smile goals!













